Jason Pair
Found 21 people in North Carolina, Florida, Iowa and other states
Jason Pair - @activatedyouth
Assisting youth who are interested in a career of serving The Lord, and to help them prepare for a life of active ministering and community leadership.
Jason Pair - @wickedjest
Always trying to improve diverse upbringing love animals 30 yrs gaming account modder for Red Dead Redemption 2 online PSN Snapchat cjestjp
Sponsored by SpokeoPaid Service
Jason W Pair
J*****@velocitawireless.com — (718) 612-****
***** Lewis St, Hillsborough, NJ
View full reportJason S Pair
H*****@hotmail.com — (515) 979-****
***** Center Ave S, Mitchellville, IA
View full reportJason R Pair
D*****@gmail.com — (254) 462-****
***** Fords Colony Ct, Rocky Mount, NC
View full reportJason B Pair
K*****@yahoo.com — (256) 531-****
***** County Road 1371, Vinemont, AL
View full reportJason S Pair
J*****@gmail.com — (816) 665-****
***** Beach Ln, Lawson, MO
Jason L Pair
G*****@gmail.com — (770) 906-****
PO Box *****, Pinetta, FL
Sponsored by SpokeoPaid Service
Jason Pair
Sponsored by PeopleLookerPaid Service
Search for contact info, city & state history, relatives, jobs, education & more
Search public records
jasonpair5 - @jasonpair5
3 followers
Jasonpairama - @jason_pairama
-_-
85 followers
jasonpairat2 - @jasonpairat2
2 followers
JasonPairat - @jasonpairat
32 followers
jason quinn (irepair) - @jason.quinn.irepair
37 followers
sneaker.repair - @jasonpairs
Sneaker repair expert!
Ins:@jasonpairs
follow for more.
49 followers
Jason Paira - @jasonpaira
17 followers
Jason Pairat - @jason.pairat8
5 followers
Jason Pairat - @jason.pairat
22 followers
cristy Francisco 😘😘love you - @jasonpairat7
2 followers
Jason Pair - @jasonpair69
Climber | Hiker | Father | Orthodontist | Wanderer| Surfer |
446 subscribers
Jason Pair - @jasonpair9276
Red Dead Redemption 2 pvp and miscellaneous uploads.
47 subscribers
Jason Pair - @jasonpair7775
2 subscribers
Jason Pair
Senior Lean Leader - Unison, a GE Aerospace company
Jason Pair
orthodontist at pair orthodontics
Jason Pair
pair orthodontics
Doctor of Dental Medicine
Kelly Kurylo
Gas Turbine Controls Continuous Improvement Leader
Experience: GE Power
Education: Georgia Tech
Erasmo Rivera
Writer and Creator, DISC Teacher and Trainer. I ...
Philip Mansour
American Association of Orthodontists
Education: Boston University
Jason Pair
-
Clay - Chalkville Middle School (1998 - 2002)
Trussville, AL
Jason Pair
-
Excelsior Springs High School (1997 - 2001)
Excelsior Springs, MO
Jason Pair
-
Walker High School (1996 - 2000)
Marietta, GA
Jason Pair
Sponsored by PeopleLookerPaid Service
Search for Jason Pair's city and state history
Search address historyWebsites owned by Jason Pair
facenaturals.net
Registered on June 2, 2023
arborplace.net
Registered on March 27, 2007
joellepair.com
Registered on October 31, 2006
pairorthodontics.com
Registered on February 4, 2003
thegreaterbathfoundation.com
Registered on May 11, 2017
novacreationsinc.com
Registered on January 14, 2011
greaterbathfoundation.com
Registered on November 9, 2015
pairsoundsystems.com
Registered on January 8, 2015
Virginia Katherine Buchanan (Kathy) View Obituary & Service Information
Cullman-Heritage Funeral Home - Sat, 17 May 2025
Integrator Business Model for Leaving a Lasting Legacy
cepro.com - Wed, 07 Sep 2022
David Pair Obituary Ankeny, IA
Dignity Memorial - Sun, 11 Mar 2018
Multivac Expands Team, Hires Two New Members and Promotes One
Deli Market News - Thu, 02 Jun 2016
Arthur Dugger (Hartville)'s Obituary, Visitation & Funeral Information
Holman-Howe Funeral Homes - Sat, 24 Nov 2018
Governor appoints Historic Bath Commission members
The Washington Daily News - Fri, 23 Sep 2016
John F. Watkins Obituary January 16, 2004
Speaks Chapels - Fri, 16 Jan 2004
Hornet Crafts Cautionary Campaign for NSPCC
Animation World Network - Sat, 10 Jan 2015
England as complete a team as you can have, says Mike Gatting
Telegraph India - Thu, 04 Jul 2019
Jason Derulo’s girlfriend Jena Frumes wows in orange two-piece
The Sun - Mon, 21 Dec 2020
@jason pair
0 photos - 0 followers
Dr. Jason Pair - @pairorthod25
28 photos - 0 followers
Jason Pair - @jasonp0622
0 followers
Jason Pair - @pairelectronics
0 followers
Jason Pair - @jasonp3037
0 followers
Jason Pair - @jasonpair28
0 followers
Jason Pair - @pair33j
22 followers
Jason Pair - @halleuyah
0 followers
Jason Pair - @jasonpairelectronics
0 followers
Jason Pair - @jasonpair
2 followers
Jason Pair - @jasonp3933
1 follower
Jason Pair - @jasonpair69
0 followers
Jason Pair - @jlpair21
0 followers
Jason PAIRE - @jasonpaire
1 follower
Jason Pair
1 follower
Jason Pair
1 follower
Pair Orthodontics- Orthodontist in Northridge & Calabasas
Specialists in Orthodontics, Invisalign & Braces in Northridge, Calabasas, Valencia & Santa Clarita. Call to see Orthodontist Dr. Jason Pair & Dr. Michael
PAIR ORTHODONTICS - Updated July 2025 - 50 Photos & 85 ... - Yelp
“Jason Pair is extremely professional and personable and all of us his staff are absolutely amazing.” Mentioned in 27 reviews. Read more highlights. You might ...
Calabasas Pediatric Dentistry & Orthodontics: Home
Drs. Elena Rumack and Jason Pair warmly welcome you to our state-of-the-art children's dental office. Our practice is dedicated to treating the dental needs ...
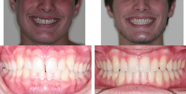
Unusual Extraction Patterns in Orthodontics Jason Pair, DDS
Jason Pair, DDS tcdrpair@gmail.com · https://pairorthodontics.com. Speaker Bio. After graduating from UCLA with a B.S. in physio- logic sciences, Dr. Jason ...
Dr. Jason Pair – Trusted Dentist in 91355 | American Dental ...
Learn more about Dr. Jason Pair, an ADA member dentist in 91355. View their specialties, office hours, and contact details to book an appointment.
Jason Pair - Biography - IMDb
Jason Pair. Actor: Warlords. Jason Pair is known for Warlords (1988) and Zombie's Toothache (2013).